Cabinet Dentaire du Barachois
Implantologie - Parodontologie - Esthétique
Cabinet Dentaire du Barachois
Implantologie - Parodontologie - Esthétique

11 rue du Mât du Pavillon, Esc C, Résidence le Barachois
97400 St Denis

Blog - Page 5

L'hygiène en orthodontie

L'hygiène en orthodontie

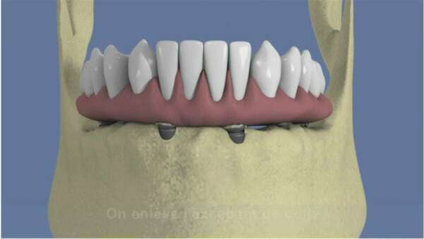
Mandibule complète et traitement implantaire pour un bridge fixe scellé

Mandibule complète et traitement implantaire pour un bridge fixe scellé

Eclaircissement ambulatoire

Eclaircissement ambulatoire

Comblement de sinus par voie latérale (sinus lift) avec implantation différée

Comblement de sinus par voie latérale (sinus lift) avec implantation différée

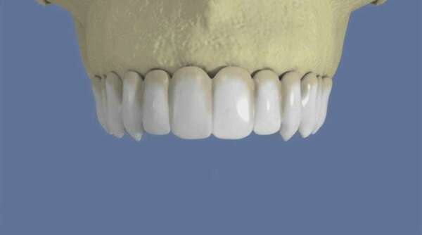
Maxillaire : bridge vissé sans fausse gencive

Maxillaire : bridge vissé sans fausse gencive

Le traitement non chirurgical de la parodontite

Le traitement non chirurgical de la parodontite

Affichage des articles 25-30 sur 179

Création par Webdentiste

Connexion